ದೆಹಲಿ :
ವೈಟ್ ಲಂಗ್ ಸಿಂಡ್ರೋಮ್ ಎಂದು ಕರೆಯಲ್ಪಡುವ ಬ್ಯಾಕ್ಟೀರಿಯಾದ ನ್ಯುಮೋನಿಯಾದ ಹೊಸ ತಳಿಯ ಉಲ್ಬಣವು ಚೀನಾದಲ್ಲಿ ಹೆಚ್ಚಾಗಿ ಕಂಡುಬಂದಿದ್ದು, ಈಗ ಅದು ಡೆನ್ಮಾರ್ಕ್, ಅಮೆರಿಕ ಮತ್ತು ನೆದರ್ಲ್ಯಾಂಡಿನ ಮಕ್ಕಳ ಮೇಲೆ ಪರಿಣಾಮ ಬೀರುತ್ತಿದೆ. ಈ ರೋಗವು ಪ್ರಾಥಮಿಕವಾಗಿ ಮೂರರಿಂದ ಎಂಟು ವರ್ಷ ವಯಸ್ಸಿನ ಮಕ್ಕಳ ಮೇಲೆ ಪರಿಣಾಮ ಬೀರುತ್ತದೆ ಎಂದು ಹೇಳಲಾಗಿದೆ.
ದಿ ಮೆಟ್ರೋ ಪ್ರಕಾರ, ‘ವೈಟ್ ಶ್ವಾಸಕೋಶದ ಸಿಂಡ್ರೋಮ್ ನ್ಯುಮೋನಿಯಾ’ – ಮೈಕೋಪ್ಲಾಸ್ಮಾ ನ್ಯುಮೋನಿಯಾದಿಂದ ಉಂಟಾಗುತ್ತದೆ, ಇದು ಅನೇಕ ಪ್ರತಿಜೀವಕಗಳು ಅಥವಾ ಪ್ರತಿಕಾಯಗಳು ಹೋರಾಡಲು ಸಾಧ್ಯವಿಲ್ಲದ ಬ್ಯಾಕ್ಟೀರಿಯಾದ ಸೋಂಕಿನಿಂದ ಉಂಟಾಗುತ್ತದೆ.
ಮಕ್ಕಳಲ್ಲಿ ನಿಗೂಢ ನ್ಯುಮೋನಿಯಾ ಪ್ರಕರಣಗಳು ಡೆನ್ಮಾರ್ಕ್ನಲ್ಲಿ ‘ಸಾಂಕ್ರಾಮಿಕ ಮಟ್ಟವನ್ನು’ ತಲುಪುತ್ತಿವೆ, ನೆದರ್ಲ್ಯಾಂಡ್ಸ್ ನಲ್ಲಿ ನ್ಯುಮೋನಿಯಾ ಹೊಂದಿರುವ ಮಕ್ಕಳಲ್ಲಿ ಇದು ಆತಂಕಕಾರಿ ಹೆಚ್ಚಳವನ್ನು ವರದಿ ಮಾಡಿದೆ ಮತ್ತು ಸ್ವೀಡನ್ ನಲ್ಲಿಯೂ ಸಹ ಮಕ್ಕಳ ಮೇಲೆ ಪರಿಣಾಮ ಬೀರುತ್ತಿದೆ.
ಈ ರೋಗವು ಕೆಮ್ಮುವುದು, ಸೀನುವುದು, ಮಾತನಾಡುವುದು ಮತ್ತು ಉಸಿರಾಟದ ಮೂಲಕ ಹರಡುತ್ತದೆ, ಸಣ್ಣ ಉಸಿರಾಟದ ಹನಿಗಳಿಂದ ಇದು ಮತ್ತೊಬ್ಬರಿಗೆ ರವಾನೆಯಾಗುತ್ತದೆ ಎಂದು ಹೇಳಲಾಗಿದೆ.
ಅಮೆರಿಕದ ಓಹಿಯೋದಲ್ಲಿನ ಹಲವಾರು ಪ್ರದೇಶಗಳಲ್ಲಿ ನಿಗೂಢ ನ್ಯುಮೋನಿಯಾದ ಉಲ್ಬಣ ಕಂಡುಬಂದಿದೆ, ಅನಾರೋಗ್ಯದ ಪ್ರಕರಣಗಳನ್ನು ದಾಖಲಿಸಿರುವ ಅಮೆರಿಕದ ಆರಂಭಿಕ ಸ್ಥಳವೆಂದು ಗುರುತಿಸಲಾಗಿದೆ, ವಿಶೇಷವಾಗಿ ಆಸ್ಪತ್ರೆಗೆ ದಾಖಲಿಸುವುದು ಅಗತ್ಯವಿರುವ ಮಕ್ಕಳ ಪ್ರಮಾಣವು ಗಮನಾರ್ಹವಾಗಿ ಹೆಚ್ಚಾಗಿದೆ. ಓಹಿಯೋದಲ್ಲಿ ನಿಗೂಢ ನ್ಯುಮೋನಿಯಾದಿಂದ ಅಪಾರ ಸಂಖ್ಯೆಯ ಮಕ್ಕಳನ್ನು ಆಸ್ಪತ್ರೆಗೆ ದಾಖಲಿಸಲಾಗಿದೆ- ಇದು ವರದಿ ಮಾಡಿದ ಅಮೆರಿಕದ ಮೊದಲ ರಾಜ್ಯವಾಗಿದೆ.
ವಾರೆನ್ ಕೌಂಟಿಯ ಆರೋಗ್ಯ ಅಧಿಕಾರಿಗಳ ಪ್ರಕಾರ, ಆಗಸ್ಟ್ನಿಂದ ಈ ಸ್ಥಿತಿಯ 142 ಮಕ್ಕಳ ಪ್ರಕರಣಗಳನ್ನು ‘ಬಿಳಿ ಶ್ವಾಸಕೋಶದ ಸಿಂಡ್ರೋಮ್’ ಎಂದು ಕರೆಯಲಾಗಿದೆ.
ಯುಎಸ್ ನ್ಯೂಸ್ & ವರ್ಲ್ಡ್ ರಿಪೋರ್ಟ್ನ ವರದಿಯ ಪ್ರಕಾರ, ರೋಗ ನಿಯಂತ್ರಣ ಮತ್ತು ತಡೆಗಟ್ಟುವಿಕೆ ಕೇಂದ್ರಗಳು ಚೀನಾದೊಂದಿಗೆ ಸಂವಹನ ನಡೆಸುತ್ತಿವೆ ಎಂದು ಪ್ರಕಟಿಸಿದೆ ಮತ್ತು ದೇಶದಲ್ಲಿ ಇತ್ತೀಚಿನ ಉಸಿರಾಟದ ಕಾಯಿಲೆಗಳ ಉಲ್ಬಣವು ಹೊಸ ರೋಗಕಾರಕವಲ್ಲ ಎಂದು ಸೂಚಿಸಿದೆ.
“ಇಂದು ನಮಗೆ ತಿಳಿದಿರುವ ವಿಷಯವೆಂದರೆ ಚೀನಾದಲ್ಲಿ ಏನಾಗುತ್ತಿದೆ ಎಂದರೆ ಅವರು ತಮ್ಮ ಕೆಲವು ಉಸಿರಾಟದ ಕಾಯಿಲೆಗಳ ಉಲ್ಬಣವನ್ನು ನೋಡುತ್ತಿದ್ದಾರೆ; ಅವರು ತಮ್ಮ ದೇಶದ ಉತ್ತರ ಭಾಗದಲ್ಲಿ ಮಕ್ಕಳಲ್ಲಿ ಅದನ್ನು ನೋಡುತ್ತಿದ್ದಾರೆ ಎಂದು ಸಿಡಿಸಿ ನಿರ್ದೇಶಕ ಮ್ಯಾಂಡಿ ಕೊಹೆನ್ ಹೌಸ್ ಉಪಸಮಿತಿಗೆ ತಿಳಿಸಿದ್ದಾರೆ.
ಇದು ಹೊಸ ರೋಗಕಾರಕ ಎಂದು ನಾವು ನಂಬುವುದಿಲ್ಲ. ಇದೆಲ್ಲವೂ ಅಸ್ತಿತ್ವದಲ್ಲಿರುವುದೇ ಆಗಿದೆ ಎಂದು ನಾವು ನಂಬುತ್ತೇವೆ ಎಂದು ಹೇಳಿದ್ದಾರೆ.
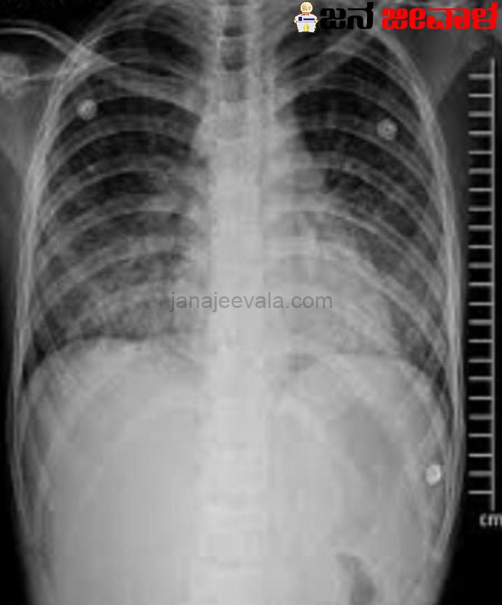
ವೈಟ್ ಲಂಗ್ ಸಿಂಡ್ರೋಮ್ ಎಂದರೇನು?
ವೈಟ್ ಲಂಗ್ ಸಿಂಡ್ರೋಮ್ ಎಂಬುದು ನ್ಯುಮೋನಿಯಾದ ತೀವ್ರ ಸ್ವರೂಪವಾಗಿದ್ದು ಅದು ಶ್ವಾಸಕೋಶದಲ್ಲಿ ಗುರುತು ಮತ್ತು ಬಣ್ಣ ಬದಲಾವಣೆ ಉಂಟುಮಾಡಬಹುದು. ಅನಾರೋಗ್ಯದ ನಿಖರವಾದ ಕಾರಣ ಇನ್ನೂ ತಿಳಿದಿಲ್ಲ, ಆದರೆ ಇದು ಬ್ಯಾಕ್ಟೀರಿಯಾ, ವೈರಲ್ ಮತ್ತು ಪರಿಸರ ಅಂಶಗಳ ಸಂಯೋಜನೆಯಿಂದ ಉಂಟಾಗುತ್ತದೆ ಎಂದು ನಂಬಲಾಗಿದೆ.
ಮೈಕೋಪ್ಲಾಸ್ಮಾ ನ್ಯುಮೋನಿಯಾ ಸರಾಸರಿ ಎಂಟು ವರ್ಷದ ಮಕ್ಕಳಲ್ಲಿ ರೋಗಿಗಳು ಹೆಚ್ಚಾಗಿ ಕಾಣಿಸಿಕೊಂಡಿದೆ, ಆದಾಗ್ಯೂ, ಕೆಲವರು ಮೂರಕ್ಕಿಂತ ಕಡಿಮೆ ವಯಸ್ಸಿನವರಲ್ಲಿಯೂ ಮೈಕೋಪ್ಲಾಸ್ಮಾ ನ್ಯುಮೋನಿಯಾ ಎಂಬ ಬ್ಯಾಕ್ಟೀರಿಯಾದ ಶ್ವಾಸಕೋಶದ ಸೋಂಕಿನಿಂದ ಬಳಲುತ್ತಿದ್ದಾರೆ.
ಸಾಮಾನ್ಯವಾಗಿ ಜನರು ಜ್ವರ ಅಥವಾ ಇತರ ವೈರಲ್ ಕಾಯಿಲೆಗಳಿಂದ ಚೇತರಿಸಿಕೊಳ್ಳುವಾಗ ಬ್ಯಾಕ್ಟೀರಿಯಾದ ಉಸಿರಾಟದ ಸೋಂಕುಗಳು ಸಾಮಾನ್ಯವಾಗಿ ಪ್ರತಿ ಕೆಲವು ವರ್ಷಗಳಿಗೊಮ್ಮೆ ಉಲ್ಬಣಗೊಳ್ಳುತ್ತವೆ. ಸಾಂಕ್ರಾಮಿಕ ಸಮಯದಲ್ಲಿ ಲಾಕ್ಡೌನ್ಗಳು, ಮಾಸ್ಕ್ ಧರಿಸುವುದು ಮತ್ತು ಶಾಲೆಯ ಮುಚ್ಚುವಿಕೆಗಳು ಮಕ್ಕಳ ರೋಗನಿರೋಧಕ ಶಕ್ತಿಯನ್ನು ಕಡಿಮೆ ಮಾಡುತ್ತವೆ, ಇದರಿಂದಾಗಿ ಅವರು ಋತುಮಾನದ ಸೋಂಕುಗಳಿಗೆ ಹೆಚ್ಚು ಒಳಗಾಗುತ್ತಾರೆ ಎಂದು ಒಂದು ಸಿದ್ಧಾಂತವು ಸೂಚಿಸುತ್ತದೆ.
ಪ್ರತಿ ಕೆಲವು ವರ್ಷಗಳಿಗೊಮ್ಮೆ, ವೈರಾಣುವಿನ ಕಾಯಿಲೆ ಅಥವಾ ಜ್ವರದ ಅಲೆಗಳಿಂದ ರೋಗಿಗಳು ಚೇತರಿಸಿಕೊಳ್ಳುತ್ತಿರುವಾಗ ಬ್ಯಾಕ್ಟೀರಿಯಾದ ಉಸಿರಾಟದ ಸೋಂಕುಗಳು ಸಾಮಾನ್ಯವಾಗಿ ಮರುಕಳಿಸುತ್ತದೆ. ವೈದ್ಯರು ವಿವರಿಸಿದಂತೆ ರೋಗಲಕ್ಷಣಗಳು ಜ್ವರ, ಕೆಮ್ಮು ಮತ್ತು ಆಯಾಸ.


